Implantatversorgung
Wenn Zähne verloren gegangen sind, gibt es heute verschiedene Möglichkeiten, die entstandenen Lücken zu schließen. Implantate sind jedoch ohne Frage eine der komfortabelsten und sichersten Lösungen.
Sie werden als Ersatz für fehlende Zahnwurzeln in den Kieferknochen eingesetzt. Nach der Einheilung kann der Zahnarzt darauf einzelne Zahnkronen, Brücken oder sogar eine ganze Zahnreihe befestigen. Die implantatgetragenen Zahnnachbildungen (Kronen) sitzen genauso fest wie die natürlichen Zähne. Auch eine herausnehmbare Vollprothese kann auf Implantaten abgestützt werden und so einen festen Sitz bekommen.
Um Zahnimplantate einsetzen zu können, ist eine ausreichende Knochendicke und -breite notwendig. Falls diese nicht oder nicht mehr vorliegt, kann Knochen aus anderen Regionen zum Aufbau herangezogen werden. Auch die Verwendung von Knochenersatzmaterial ist möglich.
ABB.01: Modernes Zahnimplantat (stark vergrößert) als künstliche Zahnwurzel. Die Zahnkrone wird erst nach der knöchernen Einheilung angebracht.
ABB.02: Im Knochen eingeheiltes Implantat (stark vergrößert) mit aufgesetzter Zahnkrone, hier zum Ersatz eines einzelnen Unterkieferzahns
Informationen berufsständischer Organisationen finden Sie hier:
- Patienteninformation der Bundeszahnärztekammer zu Zahnimplantaten
- Patienteninformation der Deutschen Gesellschaft für Implantologie (DGI)
Weiterführende Informationen zum Thema finden Sie hier:
Zahnimplantate werden immer häufiger zum Ersatz verloren gegangener Zähne eingesetzt. Mehr als 1,3 Millionen künstliche Zahnwurzeln werden jedes Jahr von Mund-, Kiefer- und Gesichtschirurgen allein in Deutschland eingesetzt.
Der damit verbundene kleine chirurgische Eingriff findet immer in Absprache und nach gemeinsamer Planung mit dem behandelnden Zahnarzt statt. Zunächst ist eine gründliche Diagnostik erforderlich, die neben einer genauen Untersuchung des Gesichtes und der Mundhöhle auch Röntgenaufnahmen umfasst.
Die Behandlungsplanung kann in besonderen Fällen auch mit Hilfe von dreidimensionalen Bildern und Analysen erfolgen. Auf diesen Bildern ist genau erkennbar, wo Nerven oder die Wurzeln der Nachbarzähne verlaufen. Auch das Knochenangebot des Kiefers kann exakt analysiert werden, so dass die optimale Lage des Implantates festgelegt und der Eingriff ohne Gefahr für die benachbarten Strukturen durchgeführt werden kann.
Während des Eingriffs wird durch einen kleinen Einschnitt in der Schleimhaut zunächst ein passgenaues „Implantat-Bett“ im Kieferknochen geschaffen. Darin werden die wurzelförmigen Titankörper vollständig versenkt und der Zugang vernäht.
ABB. 01: Im Oberkiefer eingebrachtes Implantat zum Ersatz eines Einzelzahns
ABB. 02: Im Unterkiefer eingebrachte Implantate zur Fixierung einer Prothese
Durch die gewebefreundlichen Eigenschaften des Implantatmaterials verwachsen Kieferknochen und Implantat im Laufe der mehrwöchigen Heilungsphase fest miteinander. In der Zwischenzeit kann Ihr Zahnarzt auf Wunsch einen provisorischen Zahnersatz einsetzen. Nach Abschluss der Einheilung wird die zur Mundhöhle zeigende Oberseite des Implantats in einem zweiten kleinen Eingriff aus der Schleimhaut freigelegt und ein Aufbau aufgesetzt, der eine enge Anbindung des Zahnfleischs an den “neuen Zahn” fördert (sog. Gingivaformer). Dieser wird nach kurzer Zeit durch den Zahnarzt entfernt und ein Pfosten aufgesetzt (sog. Abutment), auf dem die neue Zahnkrone angebracht wird.
ABB.01: Implantat mit aufgesetztem Pfosten (Abutment)
ABB.02: Abgeschlossene Implantatversorgung. Auf dem Pfosten (Abutment) ist die neue Zahnkrone befestigt
Im letzten Behandlungsschritt wird vom Zahntechniker der endgültige Zahnersatz (sog. Suprakonstruktion) angefertigt und vom Zahnarzt auf den Implantaten befestigt. Je nach individuellem Befund beim Patienten können einzelne oder mehrere Zähne, längere oder komplette Zahnreihen durch Implantatgetragene Kronen oder Brücken ersetzt werden. Im zahnlosen Kiefer kann ein häufig schlechter Prothesenhalt durch die Abstützung der Prothese auf Implantaten stark verbessert werden.
ABB.01: Abgeschlossene Implantatversorgung. Eingebrachtes Implantat und Zahnkrone zum Ersatz eines Einzelzahns
ABB.02: Abgeschlossene Implantatversorgung. Zwei eingebrachte Implantate und Brücke zum Ersatz mehrerer Zähne
ABB.03: Abgeschlossene Implantatversorgung. Mehrere Implantate und Brücke zum Ersatz vieler Zähne eines Kiefers
ABB.04: Abgeschlossene Implantatversorgung. Mehrere Implantate sorgen für guten Halt einer herausnehmbaren Prothese
Wo und wie viele Implantate notwendig sind, welcher Typ am besten verwendet wird und welche prothetische Versorgung (Suprakonstruktion) auf den Implantaten befestigt wird, entscheidet sich nach dem Untersuchungsbefund und intensiven Beratungen zwischen Patient, Zahnarzt und Mund-, Kiefer- und Gesichtschirurg.
Meist reicht für den Eingriff eine örtliche Betäubung aus. Bei empfindlichen Patienten oder wenn mehrere Implantate in Ober- und Unterkiefer eingesetzt werden sollen, kann der Eingriff auch Dämmerschlaf (Sedierung/Analgosedierung) oder Vollnarkose (Allgemeinanästhesie) in unserer Praxis erfolgen. Sprechen Sie uns auf diese Möglichkeit gerne an.
Damit die Wundheilung ohne Probleme verläuft, beachten Sie bitte unsere Empfehlungen in dem für Sie erstellten Merkblatt.
Zum Erhalt eines Knochens muss dieser auch regelmäßig belastet werden. Geht z.B. durch Zahnverlust die natürliche Belastung des Kieferknochens an einem Ort zurück, bildet sich dort auch der Kieferknochen zurück. Genau so kann auch eine chronische Entzündung von Zahnfleisch und Kieferknochen (Parodontitis) zum Verlust von Knochensubstanz führen.
In manchen Fällen kann so wenig Knochen an Ort und Stelle vorhanden sein, dass die Einbringung und das stabile Einheilen von Implantaten auch bei sorgfältigster Planung unmöglich sind. Um die für Implantate notwendige Knochendicke und -breite zu erzielen, stehen dann je nach Ausmaß und Lokalisation des verminderten Kieferknochens verschiedene Verfahren zur Verfügung.
Wenn nur wenig Knochen fehlt, ist ein Knochenaufbau durch Verpflanzung von eigenem Knochen häufig nicht notwendig. In diesem Fall wird ein Ersatzmaterial verwendet.
Liegt ein stärkerer Knochenabbau vor, kann zunächst körpereigener Knochen vom Unterkieferwinkel oder Kinn durch einen kleinen Zugang in der Mundhöhle entnommen und an der benötigten Stelle befestigt werden.
Im Oberkiefer wird der Knochen häufig dadurch verdickt, dass die direkt darüber liegenden Anteile der Kieferhöhle mit körpereigenem Knochen und/oder einem Knochenersatzmaterial aufgefüllt werden (Sinus Lift).
Bei einem zu dünnen Knochen kann das fehlende Gewebe heute auch durch Dehnung gewonnen werden. Möglich macht dies ein sogenannter Distraktor. In einem kleinen Eingriff in den Knochen eingesetzt, dehnt er den Knochen allmählich und schmerzfrei auf. Dabei bildet sich auf natürliche Weise neue Knochensubstanz und somit ein stabiles Implantatbett.
Wenn am Ort der Implantation der Knochen hochgradig abgebaut ist, ist die Entnahme eines Knochenspans ausreichender Größe vom Beckenkamm sinnvoll. Der dort entnommene Knochen verheilt in wenigen Wochen belastungsstabil mit dem Kieferknochen. Dies ermöglicht die Verdickung größerer Kieferabschnitte in einer Sitzung.
Ob eine Knochenauffüllung notwendig ist, welches Material verwendet wird und ob das Einbringen vom Implantaten in derselben Behandlung oder erst einige Zeit später erfolgt, wird für jeden Patienten individuell geklärt.
Für die meisten Eingriffe ist eine örtliche Betäubung ausreichend. Bei ängstlichen Patienten oder ausgedehnteren Eingriffen (z.B. Einbringen mehrerer Implantate in Ober- und Unterkiefer mit gleichzeitigem Knochenaufbau) kann der Eingriff auch unter Dämmerschlaf (Sedierung/Analgosedierung) oder Vollnarkose (Allgemeinanästhesie) in unserer Praxis erfolgen. Sprechen Sie uns auf diese Möglichkeit gerne an.
Im Fall einer Knochenentnahme vom Beckenkamm führen wir die Behandlung in unserer Belegklinik durch.
Empfehlungen für eine problemlose Wundheilung entnehmen Sie bitte dem für Sie erstellten Merkblatt.
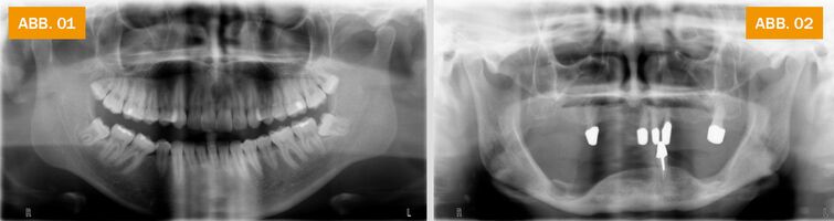
ABB. 01: Röntgenbild eines Jugendlichen mit voll bezahntem Ober- und Unterkiefer. Die Kieferknochen werden ständig belastet und sind stark ausgebildet.
ABB.02: Röntgenbild eines älteren Menschen mit wenigen verbliebenen Zähnen. In zahnlosen Bereichen haben sich der Ober- und Unterkiefer deutlich zurückgebildet.